New technique to help brain cancer patients

A new scanning technique developed by Danish and US researchers reveals how susceptible patients with aggressive brain cancer are to the drugs they receive. The research behind the ground-breaking technique has just been published in Nature Medicine.

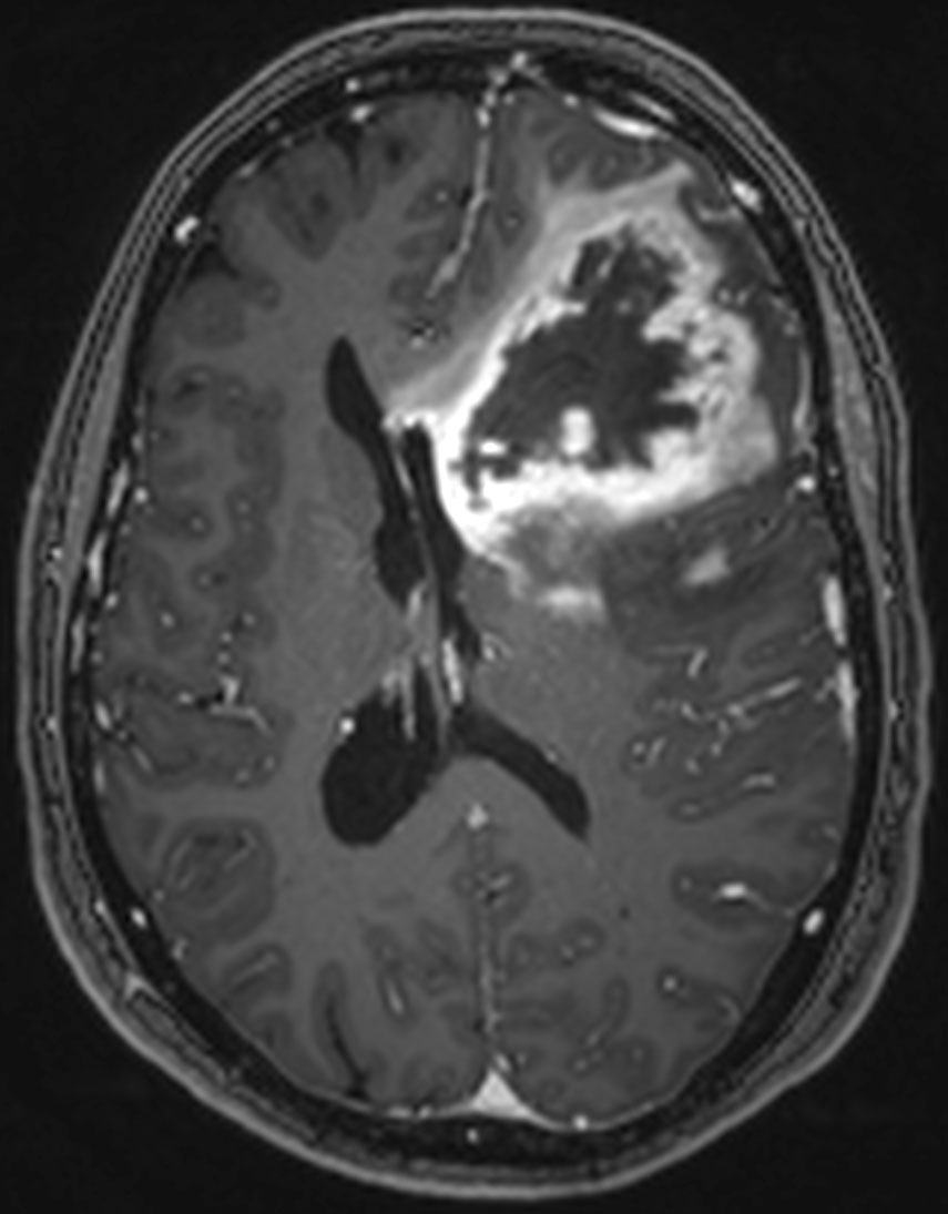
Billedet er stillet til rådighed af afdelingslæge Anna Tietze, Aarhus Universitetshospital.
Billedet er stillet til rådighed af afdelingslæge Anna Tietze, Aarhus Universitetshospital.

Each year sees 260 new cases of the most aggressive type of brain cancer in Denmark. Some patients survive only a few months, while others survive for 18 months. Only very few, 3.5%, are alive five years after their diagnosis. A new scanning technique can now reveal how the brain tumour responds to the drug administered:

“We have developed an MRI technique which reveals how a patient will respond to the treatment that inhibits the growth of new blood vessels to the tumour. The technique allows us to only select the patients who will actually benefit from the treatment and to quickly initiate or intensify other treatments for non-responding patients,” says Kim Mouridsen, Associate Professor at Aarhus University and head of the research group Neuroimaging Methods at MINDLab, Aarhus University.

He has developed the new technique together with researchers from Harvard Medical School.

Brain architecture providing important knowledge
Aggressive brain cancer is usually treated with drugs that inhibit the growth of new blood vessels, as the most aggressive brain tumours are constantly trying to produce new blood vessels to get oxygen. The treatment alleviates the symptoms, but it also increases the efficacy of radiation therapy because it improves oxygenation.

According to Kim Mouridsen, the new technique – Vessel Architectural Imaging – is an important step towards better treatment:

“Getting more knowledge about what the blood vessels in the tumour look like will also give us a better understanding of the mechanisms which are decisive for the efficacy of the treatment. And understanding these mechanisms is precisely what we need to be able to develop and improve the treatment of brain tumours in general.”

 


 

Read more

Read the scientific article ‘Vessel architectural imaging identifies cancer patient responders to anti-angiogenic therapy’ here (link to http://www.nature.com/nm/journal/vaop/ncurrent/full/nm.3289.html)

The study receives funding from the Danish Research Foundation and the Ministry of Science, Technology and Innovation.


Further information

Kim Mouridsen, Associate Professor, PhD
Aarhus University, Department of Clinical Medicine, Center of Functionally Integrative Neuroscience and MINDLab
Tel.: +45 7846 4404 / +45 2980 5090
kim@cfin.dk