Aarhus University logo

Find
  • For students
  • For PhD's
  • For employees
  • Local study portal

    Klinisk tandtekniker Odontologi Tandplejer Brightspace

    Local PhD portal

    ClinFO

    Pages for all PhD students

    phd.au.dk

    Local staff information

    Department of Dentistry and Oral Health

    Common pages for staff members at AU

    medarbejdere.au.dk/en/

Department of Dentistry and Oral Health

  • About us
    • Organisation
    • Strategy
    • News and events
    • Vacant positions
  • Research
    • Diagnostics and Imaging
    • Intelligent Systems
    • Neuroscience and Rehabilitation
    • Oral Ecology and Inflammation
    • International research collaboration
    • Publications
    • Core Facilities
  • Education
    • Education programmes
    • Further and continuing education
  • Contact
    • Employees
 

Research

Research is based on clinical issues and creates an increased understanding of causal relations.

News from Health

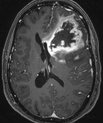
New technique to help brain cancer patients

Billedet er stillet til rådighed af afdelingslæge Anna Tietze, Aarhus Universitetshospital.
23 August 2013 - Health and disease

A new scanning technique developed by Danish and US researchers reveals how susceptible patients with aggressive brain cancer are to the drugs they…

Municipalities launch initiatives to boost schoolchildren’s health

Denmark's largest municipalities and a number of small cities have teamed up with researchers from Aarhus University on developing the website skolesundhed.dk.
20 August 2013 - Health and disease

For the past couple of years, Denmark's largest municipalities and a number of small cities have teamed up with researchers from Aarhus University on…

New mask may revolutionise treatment of epileptics

Åndedrætsmasken blev præmieret til Venture Cup Startup Competition i kategorien LifeScience og Medtech for sit store potentiale og nytænkende karakter.
16 August 2013 - Department of Clinical Medicine

A PhD student from Aarhus University has developed a respiratory mask which may change the treatment of epileptic seizures. And its huge potential has…

Page 580 of 583

  • Previous
  • 1
  • …
  • 579
  • 580
  • 581
  • …
  • 583
  • Next

Degree programmes

See our degree programmes and further and continuing education programmes

Events

Education in organizational health literacy (Aarhus)

1 Sep
86 days, Tuesday 1 September 2026, at 08:00 - 25 November Aarhus

1 September 2026 to 25 November 2026, Aarhus. REACH teaches in the ambassador education on organizational health literacy.

Page 9 of 9

  • Previous
  • 1
  • …
  • 7
  • 8
  • 9
Tandlægeskolens indgang

Behandling på tandlægeskolen

Tandlægeskolen tilbyder offentlig behandling udført af studerende under vejledning og opsyn af uddannet fagpersonale.

Subject and research areas
Employees
Join us
Revised 18.02.2026
-
Webredaktionen, IOOS

Department of Dentistry
and Oral Health

Aarhus University
Vennelyst Boulevard 9
8000 Aarhus C

E-mail: ioos@au.dk
Tel: +45 87 16 74 00

CVR no: 31119103
EAN no: 5798000419285

About us

  • Profile
  • Employees
  • Contact

Degree programmes

  • Bachelor
  • Master
  • Engineering
  • PhD
  •  


  • © — Cookies at au.dk
    Privacy Policy
    Accessibility Statement

    7444 / i34